Парализованному псу из Ростовской области установили титановый диск в лапку

Парализованному псу из Ростовской области установили титановый диск в лапку

Парализованному псу из Сальска установили титановый диск в лапку. Информацию об этом предоставил портал DonDay с ссылкой на Юлию Адимову.

Ранее мы писали о собаке Мите, найденной в Ростовской области. После завершения курса лечения в ветеринарной клинике по месту жительства пса перевезли для продолжения терапии в Санкт-Петербург.

Специалисты клиники сообщили Юлии о неизбежности ампутации. Они уверены, что даже передвигаясь ползком, опираясь на одну здоровую лапу, качество жизни Мити улучшится. Но как только пес пошел на поправку, возникла новая проблема.

- У пса рецидивировали трофические язвы на лапах, – рассказала Юлия. - Постоянное трение лап об пол вызвало болезненность, и из-за боли начался озноб.

Ветеринары провели ряд исследований, чтобы определить необходимость операции.

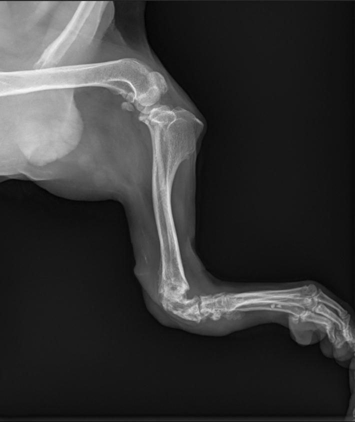
- Владимир Александрович, врач из Санкт-Петербурга, изучил снимки компьютерной томографии, – сообщила владелица приюта. - Операция на лапе возможна.

В итоге, 30 октября врачи прооперировали Митю. Операция прошла без осложнений.

- Установили имплант, – говорит Юлия. - Как сказал врач, уже на третий день после операции собака должна встать на лапу.

Мите также прописали успокоительные из-за его гиперактивности.

- Чтобы имплант прижился, чрезмерная активность нежелательна, – подчеркивает Юлия.

Однако существует риск заражения. Окончательный результат операции станет ясен через две недели. Если же возникнет инфекция, имплант придется удалить и вернуться к исходному состоянию.

Что еще почитать

В регионах

Новости региона

Все новости

Новости

Самое читаемое

...
Сегодня
...
...
...
...
Ощущается как ...

Автовзгляд

Womanhit

Охотники.ру